ご相談・カウンセリングは無料です。
―お気軽にお問合せください―
0120-82-7766
受付時間:9:30~13:00 14:00~18:00
定休日:水・日・祝日
今の歯並びが“治療後”どう変わるかを確認できます!
3Dシミュレーション付き
無料カウンセリングを予約する
初めての方も安心。西大寺分院では無料カウンセリングを行っています。矯正が必要かどうか、その場で3Dシミュレーションも可能です。
無色透明のマウスピースだから、人前に出る仕事や学校生活でも安心。日常会話でも気付かれることはほとんどありません。
取り外し可能なので、食事や歯みがきがスムーズ。むし歯や歯周病リスクを抑えて口腔内を清潔に保てます。
苦しい型取りは不要。光学スキャナで快適に精密な型取りが可能です。西大寺吉野歯科では説明用モニターを各診療室に設置し、その場で画像をご覧いただけます。
治療前から治療後まで、歯並びの変化を動画でわかりやすく確認可能。治療期間や最終的な歯並びのイメージを事前に把握できます。
シミュレーションのサンプルは、次の動画をご覧ください。
12回までの分割払いなら金利は当院が負担いたします。
| 矯正の種類 |
クリアコレクト マウスピース矯正 透明なマウスピースによる、新しい矯正装置
|
メタルブラケット(ワイヤー)矯正 歯の表面に金属を装着する 、従来の矯正治療
|
| 目立ちにくさ | ●
透明で気付かれにくい |
✕
金属が見えるため目立ちやすい |
| 取り外し | ●
食事・歯みがき時に外せる |
✕
固定されており取り外し不可 |
| アレルギー | ●
金属不使用で安心 |
✕
金属アレルギーの心配あり |
| ケアのしやすさ | ●
外して磨けるため清潔 |
▲
装置が邪魔で磨きにくい |
| 治療費用 | ●
1本から治療できるので比較的安い |
▲
症例によっては高額になりやすい |
| 重度症例 | ▲
軽度〜中度に向く |
●
重度症例にも対応可 |
※重度の不正咬合など一部症例ではマウスピース矯正が適応できない場合があります。その場合はワイヤー矯正など別の治療法をご提案いたします。
マウスピース矯正「クリアコレクト」は、軽度から中等度までの不正咬合に幅広く対応できます。以下のようなお悩みに効果的です。
所要時間は約30分。歯並びの状態や矯正の希望を伺い、必要に応じてレントゲン撮影・口腔内写真撮影を行います。
患者さまの歯の状に基づいてカスタマイズされた3D治療計画を作成し、予測される歯並びの最終位置やおおよその治療期間も判明します。こちらの治療計画(3Dシミュレーション)は、患者さまと共有することができます
治療計画に合わせて製作されたアライナーを、ドクターの指示に従って毎日装着します。
歯磨きやお食事の時以外、1日22時間以上装着し、1~2週間毎にアライナーを交換します。
※治療期間は患者さまによってそれぞれ異なります。
矯正治療後の歯並びを安定させるためには、マウスピース型の保定装置「リテーナー」を装着し、後戻りを防ぐ必要があります。
保定期間は、一般的に矯正治療にかかった期間と同程度、あるいはそれ以上とお考えください。
保定用マウスピースは、見た目は矯正治療中に使用するものと似ていますが、やや硬めの素材で作られており、整えた歯並びをしっかりと固定します。
ご自宅で過ごす時間や就寝時に装着することで、歯並びを良好な状態に保つことができます。
また、当院は保定装置も矯正費用に含まれています。
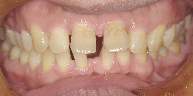
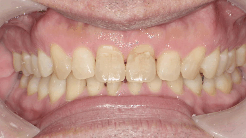
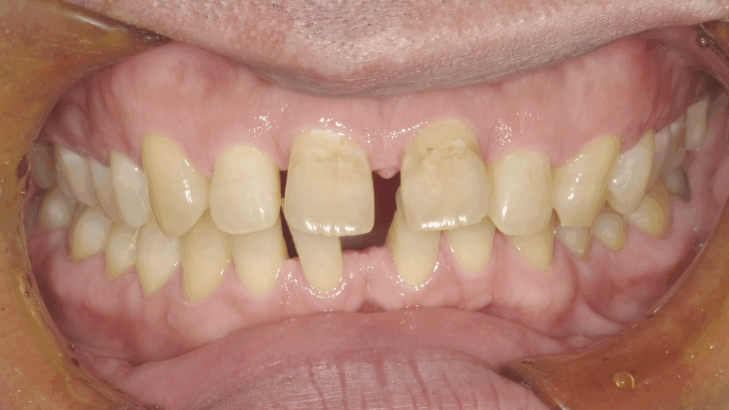
本院での症例の一部をご紹介いたします。
![00b]](https://yoshino-sika.com/saidaiji/cc/wp-content/uploads/2025/10/00b.jpg)















※痛み・違和感が出る場合があります/装着時間を守らないと効果が出にくいことがあります/効果には個人差があります/長期安定には保定・通院が必要です。
一般的な上顎と下顎を同時に治療するケース
| 診断結果のステップ数 | 価格 (税込) |
リテーナー (保定用アライナー) |
| MINI 保障:半年以内 ~12ステップ |
55万円 | 1セット無料 |
| ONE 保障:1年以内 ~24ステップ |
69万円 | 1セット無料 |
| TWO 保障:2年以内 ~48ステップ |
79万円 | 2セット無料 |
| THREE 保障:3年以内 ~72ステップ |
89万円 | 3セット無料 |
※矯正始められる場合内金としてお先に20万円ご入金お願いします。
令和7年10月1日
上顎又は下顎のみ治療するケース
| 診断結果のステップ数 | 価格 (税込) |
リテーナー (保定用アライナー) |
| MINI 保障:半年以内 ~12ステップ |
39万円 | 1セット無料 |
| ONE 保障:1年以内 ~24ステップ |
49万円 | 1セット無料 |
| TWO 保障:2年以内 ~48ステップ |
59万円 | 2セット無料 |
| THREE 保障:3年以内 ~72ステップ |
69万円 | 3セット無料 |
※矯正始められる場合内金としてお先に20万円ご入金お願いします。
令和7年10月1日
3ステップから11ステップの場合
| 診断結果のステップ数 | 価格 (税込) |
リテーナー (保定用アライナー) |
| 3~5ステップ | 15~20万円 | 1万円/1セット |
| 6~8ステップ | 25~35万円 | 1万円/1セット |
| 9~11ステップ | 40万円以上 | 1万円/1セット |
令和7年10月1日
15万円(税込)~
軽度の治療の場合の最低金額です。
デンタルローンのご利用で、治療費を最大84回まで分割し、お支払いいいただけます。
デンタルローン12回までの分割払いをお選びいただいた場合は、金利は当院が負担いたします。
(例)治療費39万円(税込)の分割払い場合
月々4,642円(税込)~
デンタルローンのご利用で、
お支払いを最大84回まで分割した場合の金額です。
お支払には、次のデンタルローンがご利用いただけます。
Q.大和西大寺駅からどのくらいですか?
A. 近鉄 大和西大寺駅 北口より 東へ徒歩4分程度です。詳細は、アクセス欄をご覧ください。
Q.オンラインで相談できますか?
A. 「こども歯科矯正」につきましては、オンラインカウンセリング枠をご用意しています。CLINICS予約サイトよりご予約ください。(現在準備中)
Q.駐車場はありますか?
A. 周辺に、コインパーキングがございますので、恐れ入りますが、そちらをご利用くださいますようお願いいたします。
Q. 完全予約制とはどういうことですか?
A. 当院はお待たせしない診療を心がけるため、完全予約制を導入しています。初診・再診を問わず、事前にお電話またはWEB予約フォームからご予約をお願いします。急な症状で来院される場合は、まずお電話でご相談ください。できる限り対応させていただきます。なお、ご都合が悪くなった場合のキャンセルや変更は、他の患者さまのためにも前日までにご連絡をお願いいたします。
Q1.マウスピース矯正の治療費用はどれくらいかかりますか?
A.歯列矯正治療は、公的な医療保険が適用されない「自由診療」になります。個人の歯の状態や医院によっても異なりますので、直接歯科医院までご相談ください。
Q2.治療費以外でかかる追加費用はありますか?
A.本来の矯正治療以外に、紛失によるマウスピースの再製作やメインテナンス用品、また、通院ごとにかかる追加料金が発生する場合があります。
Q3.相談だけでも費用はかかりますか?
A.精密検査·診断の費用がかかる場合がありますので、事前にお尋ねください。
Q4.矯正治療を途中でやめたい場合、返金はできますか?
A.歯科矯正治療の費用は、最初に指定される場合が多いため、途中でやめる場合でも、一度製作されたマウスピースのキャンセルまたは、返金はいたしかねます。
Q5.マウスピース矯正治療は痛みますか?
A.痛みの感覚に個人差はありますが、特に新しいマウスピースを使い始めて3~5日間は若干の違和感が生じるのが一般的です。それは、歯が段階的に動いているという証にもなります。
Q6.マウスピースの紛失や壊れてしまった場合はどうすれば良いですか?
A.直ちに担当医師に相談してください。状況により次のマウスピースに進めていい場合や1つ前のマウスピースを装着していただき、紛失·破損したマウスピースを再製作する場合もあります。
Q7.マウスピースがはまらない時はどうすれば良いですか?
A.直ちに担当医師に相談してください。マウスピースが浮き上がった状態では歯列に適切な矯正力が与えられず計画していない方向に歯が移動する可能性があります。
Q8.治療中に食べられない食品はありますか?
A.いいえ、ありません。マウスピース矯正治療のメリットの一つは、飲食時にマウスピースを取り外し、普段通りに飲食ができることです。
Q9.喫煙者でもマウスピース矯正は可能ですか?
A.喫煙していても歯を動かすことは可能ですが、たばこを吸わない場合と比べると歯の動きが遅くなると言われています。
また、たばこには歯とマウスピースを劣化·変色させる成分が含まれているので、マウスピースをつけたままの喫煙は避けてください。
Q10.マウスピースをつけたまま飲み物を飲んでも大丈夫ですか?
1.甘い飲み物「ジュース·清涼飲料水」は、歯とマウスピースの間に入り込んで虫歯のリスクが高くなります。
2.「コーヒー·お茶」は、マウスピースを着色させてしまう成分が入っているため、注意が必要です。できるだけ、着色しにくい飲み物を選ぶようにしましょう。
3.クリアコレクトのマウスピースは、薄いプラスチックの素材でできているため、熱い飲み物の場合、マウスピースが熱で変形してしまう恐れがあります。飲むときにはマウスピースを外して飲むことをお勧めします。
Q11.口の中にインプラント(人工歯)が入っていますが、マウスピース矯正治療は可能ですか?
A.インプラントの本数や口の中の状況によりますが、基本的には可能です。
ただし、インプラントが入っている位置は動かせませんので、上部構造(被せものの部分)だけを作り直す場合もあります。詳しくは、担当医師にご相談下さい。
Q12.歯を抜かなくても矯正治療は可能ですか?
A.歯並びによって抜歯が必要な場合とそうではない場合があります。
抜歯·非抜歯によって治療内容、口元(Eライン)や顔の印象が変わる場合がありますので、治療開始前に担当医師にご相談下さい。
皆様こんにちは、院長の吉野修一郎です。
当クリニックでは、矯正治療からホワイトニング、予防まで幅広く対応し、患者さんの笑顔を引き出すお手伝いをしています。
初診の際は、しっかりとカウンセリングを行い、一人ひとりに合わせた最適な治療計画をご提案しています。
地域の皆さまに長く安心して通っていただける場所にしたいという想いで、スタッフと一緒に成長していきたいと考えています。
お口の健康はもちろん、美しい歯並びや白い歯を通じて、自信を持って笑える毎日をサポートしたいと考えています。
ぜひお気軽にご相談ください。スタッフ一同、皆さまのご来院を心よりお待ちしております。本院とともに地域医療に貢献してまいります。(本院の詳細はこちら)
![]()
経歴
朝日大学歯学部卒業
大阪歯科大学臨床研修医
大阪歯科大学 生理学専攻生
JIADSエンドコース・補綴コース修了
ITIインプラントコース終了
ハーバード大学インプラントコース終了
大阪歯科大学にて博士号取得
所属団体
ITIメンバー
歯周内科学研究会
床矯正研究会会員
大阪歯科大学生理学非常勤講師
近鉄 大和西大寺駅 北口より 東へ徒歩4分
ならファミリー南口向かい