メタルフリー治療
Mtal-free Treatment
奈良市・西大寺でジルコニア治療をお探しなら
銀歯を自然な白い歯に、金属を使わない安心・安全な治療
奈良市・西大寺でジルコニア治療をお探しなら
銀歯を自然な白い歯に、金属を使わない安心・安全な治療
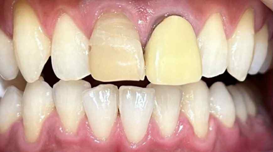
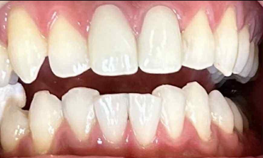
ジルコニアは、天然の歯に近い透明感と色合いを再現できるため、前歯にも奥歯にも使用できます。長期間使用しても変色しにくく、美しさが続くのが特徴です。
銀歯のように口を開けたときに目立つことがなく、自然な笑顔に自信を持てます。「銀歯を白い歯に変えたい」「自然な見た目にしたい」という方におすすめです。
人工ダイヤモンドに例えられるほど強度が高く、奥歯の強い力にも耐えられます。
金属やプラスチックに比べて割れにくく摩耗しにくいため、適切なメンテナンスをすれば10年以上使えることもあります。
「長持ちする治療を選びたい」「再治療のリスクを減らしたい」という方に適しています。
ジルコニアは金属を一切使わないため、金属アレルギーの心配がありません。表面がなめらかで歯垢がつきにくいため、むし歯や歯周病のリスクを軽減できるのもメリットです。
さらに歯ぐきの黒ずみが起こらないため、見た目にも清潔感が保てます。「金属アレルギーが不安」「歯ぐきの色が気になる」という方におすすめです。
ジルコニアは「人工ダイヤモンド」とも呼ばれる非常に硬く美しい素材で、近年歯科治療で注目されています。
従来の銀歯や保険適用のCAD/CAM冠と比べ、自然な見た目・高い耐久性・体へのやさしさを兼ね備えているのが特徴です。
奈良市西大寺の当院では、**審美性と機能性を両立したジルコニア治療(メタルフリー治療)**を提供し、金属アレルギーや歯ぐきの黒ずみを気にされる方にも安心してお選びいただけます。
当院では「保険のCAD/CAM冠や銀歯」と「ジルコニア治療」を比較してご説明しています。
素材による違いを理解した上で、患者さまに最適な方法を選んでいただけます。
| 項目 | 保険診療(銀歯・CAD/CAM冠) | ジルコニア治療 |
| 見た目 | 銀色で目立つ/プラスチックは変色しやすい | 白さと強度を両立。自然な見た目で前歯・奥歯とも対応可能 |
| 耐久性 | 2〜5年で再治療リスクあり | 非常に強度が高く、10年以上の長期使用も可能 |
| 健康面 | 金属アレルギーのリスクあり | 金属不使用で安心。プラークが付きにくく衛生的 |
| 適応部位 | 保険の範囲のみ(奥歯は銀歯) | 奥歯・前歯どちらにも対応可能 |
| 費用 | 保険適用で安価(約5,000円前後) | 自費治療(55,000円〜110,000円)だが長期的に経済的 |


※強い力で欠けることがあります/自費診療で保険適用外です/効果には個人差があります/長期使用には定期的なメンテナンスが必要です
ジルコニアインレー(詰め物)
ジルコニアクラウン(被せ物)
Q. ジルコニアとセラミックはどう違うのですか?
A. セラミック(e.maxなど)は透明感が高く前歯の審美治療に向きますが、強度はジルコニアより劣ります。ジルコニアは強度と耐久性に優れ、奥歯にも使用でき、自然な白さも兼ね備えています。
Q. 保険のCAD/CAM冠や銀歯と比べると何が違いますか?
A. 保険治療は安価ですが、2〜5年で変色や摩耗が起こり、再治療が必要になる場合があります。ジルコニアは変色や劣化が少なく、10年以上使えるケースも多く、金属アレルギーの心配もありません。
Q. 奥歯にもジルコニアは使えますか?
A. はい。ジルコニアは非常に強度が高いため、咬む力が強い奥歯のクラウンにも安心して使用できます。
Q. 色や見た目は自然に仕上がりますか?
A. 周囲の歯の色に合わせて調整できるため、天然歯に近い自然な仕上がりになります。特に前歯では、透明感を重視する場合はセラミック(e.max)をご案内することもあります。
Q. ジルコニアの寿命はどれくらいですか?
A. 適切なメンテナンスを行えば10年以上使用できることが多いです。耐久性に優れているため、長期的に見れば経済的な治療です。
Q. 金属アレルギーの心配はありますか?
A. ジルコニア・セラミックは金属を一切含まないため、金属アレルギーの心配はありません。
Q. ホワイトニングとの違いは何ですか?
A. ホワイトニングは天然歯の表面を薬剤で白くする治療で、詰め物や被せ物は白くできません。ジルコニア治療は人工歯を白い素材に置き換える方法で、銀歯を自然な白さに変えたい方に適しています。
Q. メンテナンスは必要ですか?
A. はい。ジルコニア自体は劣化しにくい素材ですが、周囲の歯ぐきや歯にトラブルが起きないよう、定期的な歯科検診とクリーニングをおすすめします。
Q. どのくらいの費用がかかりますか?
A. 1本あたり55,000円(税込)〜が目安です。部位や状態によって異なりますので、カウンセリングで詳しくご説明します。
Q. 仮歯はつけてもらえますか?
A. はい。治療の過程で仮歯を装着しますので、見た目や噛むことに支障なく過ごしていただけます。
奈良市・西大寺の当院では、保険診療とジルコニア治療の両方を丁寧にご説明し、患者さまご自身が納得して選べるようサポートしています。
まずは無料カウンセリングで「自分に合った治療法」をご相談ください。