ホワイトエッセンス大和西大寺院
WHITE ESSENCE YAMATO SAIDAIJI
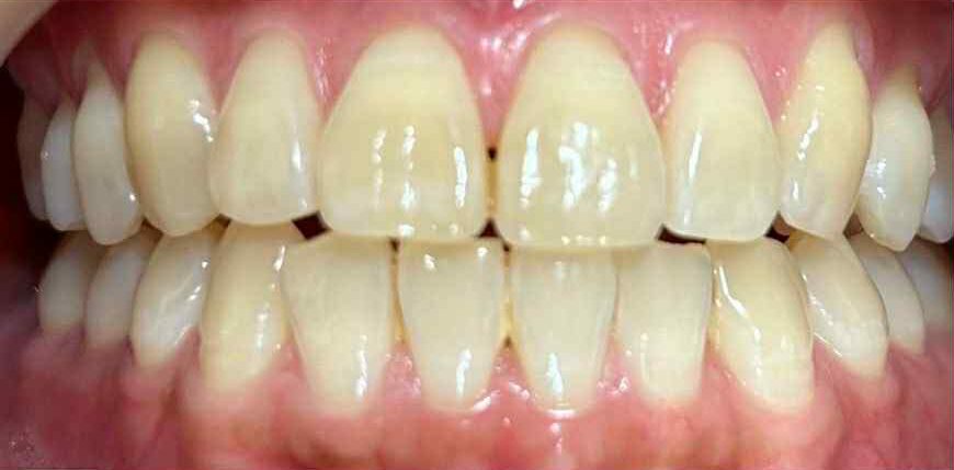
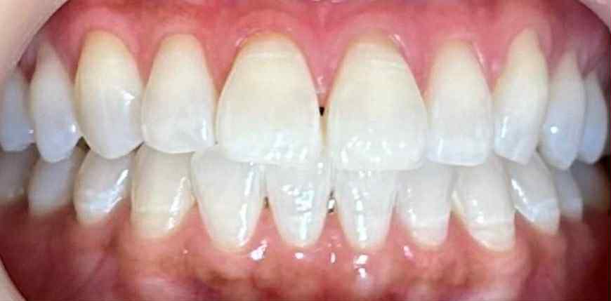
医療機関だからできる、安全で効果的なホワイトニング
医療機関だからできる、安全で効果的なホワイトニング
当院は、全国に展開する医療ホワイトニングブランド「ホワイトエッセンス」に加盟しています。
全国で統一された高い施術基準と、豊富な症例データに基づいたノウハウをもとに、どなたでも安心して治療を受けていただけます。初めての方も、全国レベルの品質を奈良・西大寺で体験できます。
市販のホワイトニング用品とは異なり、歯科医師・歯科衛生士が取り扱う「医療機関専用の薬剤」と「専用照射器」を使用します。
歯の白さの実感を期待できるだけでなく、口腔内の安全管理も徹底されているため、痛みやリスクを抑えながら高い効果が期待できます。
施術は全室「個室」で行います。他の患者さまを気にせず、プライベートな空間でリラックスしてお過ごしいただけます。
落ち着いた雰囲気の中で、まるでエステのように快適なホワイトニング体験をご提供します。
「試してみたいけれど、本当に効果が出るか不安…」という方もご安心ください。
当院では、ホワイトエッセンス全加盟院共通の「返金保証制度」を導入しています。万一ご満足いただけなかった場合にも安心してスタートできるシステムです。


※知覚過敏になる場合があります/定期的なメインテナンスを行わないと色戻りすることがあります/効果には個人差があります
Q. どれくらい白くなりますか?
A. 個人差はありますが、1回の施術でも効果を実感される方が多いです。回数を重ねることで、より理想的な白さに近づけます。
Q. 痛みやしみはありますか?
A. 低刺激の薬剤を使用しており、従来よりもしみにくくなっています。しみやすい方には濃度を調整するなど配慮いたします。
Q. 効果はどのくらい持続しますか?
A. 生活習慣にもよりますが、数か月〜1年ほど持続する方が多いです。定期的なメンテナンスで長期間白さをキープできます。
Q. 初めてでも大丈夫ですか?
A. はい、無料カウンセリングでご希望をお伺いし、最適なプランをご提案します。初めての方にも安心して始めていただけます。
Q. 施術時間はどのくらいかかりますか?
A. 1回あたり約60分程度が目安です。初回はカウンセリングを含めてもう少しお時間をいただきます。
Q. どんな人におすすめですか?
A. 歯の黄ばみや着色が気になる方、結婚式やイベント前に白い歯にしたい方、第一印象を良くしたい方におすすめです。
Q. 市販のホワイトニングとの違いは何ですか?
A. 市販のものは効果が穏やかで時間がかかります。当院では医療機関専用の薬剤を使用するため、より高い効果と安全性を両立できます。
Q. ホワイトニング後に食事の制限はありますか?
A. 施術後24時間は、着色しやすい飲食物(コーヒー・赤ワイン・カレーなど)は控えていただくのが望ましいです。その後は普段通りの食生活が可能です。
Q. 虫歯や歯周病があってもできますか?
A. 状態によりますが、まずは虫歯や歯周病の治療を優先してからホワイトニングを行うことをおすすめしています。カウンセリング時にお口の状態を確認してご案内いたします。