矯正治療(マウスピース矯正・床矯正・プレオルソ)
矯正治療 4つの特徴
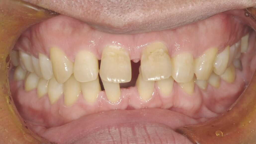
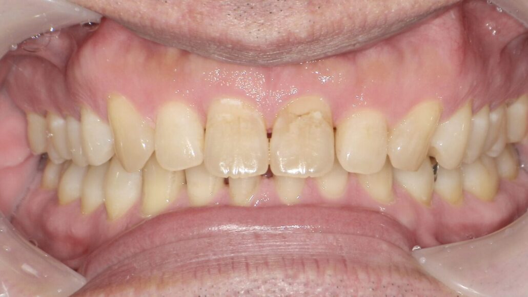
こどもから大人まで、ライフステージに合わせた矯正治療
こどもから大人まで、ライフステージに合わせた矯正治療
Point1 マウスピース矯正 ”クリアコレクト”
透明で目立ちにくいマウスピース矯正を採用しています。学校や職場でも気づかれにくく、普段どおりの生活を送りながら治療が可能です。
Point2 年齢やライフステージに合わせたご提案
小児矯正(プレオルソ・床矯正)から大人のマウスピース矯正まで幅広く対応しています。お子さまの成長に合わせた治療や、大人になってからでも始めやすい矯正方法をご提案します。
Point3 3Dスキャナーによるデジタル診断
治療前にお口の中をスキャンし、シミュレーションで治療後の歯並びを確認できます。ゴールをイメージできるからこそ、安心して治療を始めていただけます。
Point4 明確で安心できる料金体系
「どのくらいかかるの?」という不安を減らすために、わかりやすい料金プランをご用意しています。無料カウンセリングで一人ひとりに合った治療方法と費用をご説明します。











